在血管介入领域内,球囊产品经久不衰,创新不断;2023医疗器械展览会今天来聊一聊球囊黑科技之一的巧克力球囊。该产品的获批,不仅意味着市场上多了一款在技术及理念上具有突破性进展的球囊,同时也标志着PTA球囊的临床应用和技术发展进入了“3.0时代”。
产品简介
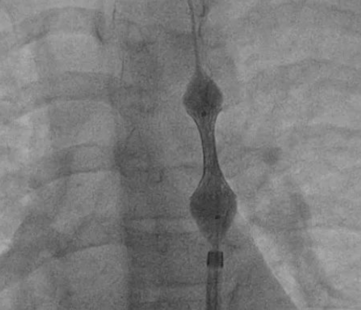
1.1 结构赏析
从产品名称中可以窥探其一二,巧克力球囊当然不是我们平常吃的巧克力,而是其外形与块状巧克力类似,都有凹凸不平的类似波浪形的外观,类似有波峰和波谷的结构;
在球囊的外表面加了一层镍钛记忆合金约束性金属网状结构,球囊在金属网的约束下可控、均匀和无创伤的扩张。

巧克力球囊图片
图片来源:MedTalk of Vascular
商业化产品
2.1 上市产品
2.1.1 Chocolate PTA Balloon:球囊+金属网状结构

Chocolate PTA Balloon
图片来源:MedTalk of Vascular
适应症:用于外周血管系统狭窄的扩张,包括髂动脉、股动脉、髂股动脉、腘动脉、膝下动脉及肾动脉的外周血管狭窄;在美国获得FDA批准上市,是美敦力在2017年花费2800万美元收购新加坡企业TriReme Medical的技术;

图片来源:MedTalk of Vascular
特点:1)通过枕部施加压力,提供可控扩张以达到有效扩张的目的;2)凹槽减轻应力作用,阻止夹层扩展延伸,从而降低血管夹层的发生概率;3)卸压速度快并具有优异的回抱性能,降低二次通过外径,有利于球囊使用多次后仍然能通过钙化病变;4)在球囊扩张过程时,减少球囊沿轴向扩张的程度,从而降低对非病变血管的损伤;5)在偏心钙化病变中球囊依然能够均匀扩张,减少“狗骨头效应”。

狗骨头效应图
图片来源:MedTalk of Vascular
狗骨头效应图2.1.2 Chocolate Touch:球囊+金属网状结构+紫杉醇药物

Chocolate Touch
图片来源:MedTalk of Vascular
适应症:用于股浅动脉和腘动脉的周围动脉疾病患者;
在美国获得FDA批准上市,健适集团在2020年将Chocolate Touch纳入到健适大家庭,拥有药涂巧克力球囊的专利及全球权益,有意思的是Chocolate Touch也是来自新加坡企业TriReme Medical的技术。包括健适等在内的领先的全球医疗器械企业纷纷前来参观2023医疗器械展览会Medtec China。

图片来源:MedTalk of Vascular
特点:1)具备Chocolate PTA Balloon巧克力球囊的所有功能;2)输送药物的功能,保证治疗效果并减少支架补救的情况;3)兼具扩张和药物治疗的双重功能,从而降低治疗成本;
2023医疗器械展览会Medtec China拥有强势的植入介入背景及资源,相关的医疗器械制造商、材料供应商等纷纷来现场为客户提供国内外产品及解决方案。同期举办植入介入医疗器械峰会,会议围绕骨科植入物、心血管介入产品,探讨其市场趋势、研发与设计与材料创新等内容,是企业成为行业领袖的绝好机会,扫描下方二维码立刻参展报名Medtec China,在Medtec现场与1,000+企业一起分享研发新品及创新技术。
临床试验产品
浙江巴泰药涂巧克力球囊:球囊+金属网状结构+紫杉醇药物+血液灌注孔

浙江巴泰带灌注孔的药涂巧克力球囊
图片来源:MedTalk of Vascular
适应症:用于冠状动脉原位大血管病变;
局限性:由于球囊表面金属网状结构的存在,球囊部分的通过外径会比普通球囊稍大,因此限制了其在冠脉的应用场景。
特点:1)具备Chocolate Touch巧克力球囊的所有功能;2)由于在球囊近端具有血液灌注孔,因此在球囊扩张时可以保持远端血管的血液供应,提高术者在术中的舒适度;3)可使球囊扩张时间延长,提高药物转移效率,最终可以使治疗效果提高;
文章及图片转载自MedTalk of Vascular
如涉及侵权,请立刻联系删除